Eurasier vom Löwental

Trächtigkeitschronik
Trächtigkeitschronik
27.02.2025 - Tag 67 - Woche 10:
Die Temperatur ist endlich gesunken und Mae ist sehr unruhig. Sie gräbt ständig in der Wurfkiste.
Jetzt kann es nicht mehr lange dauern.
24.02.2025 - Tag 64 - Woche 10:
Mae frisst seit heute nur ganz kleine Portionen. Ansonsten tut sich nicht viel. Sie hat schon knappe 5 kg zugenommen.
Wir können die Ankunft der Welpen kaum erwarten. Aber was bleibt uns anderes übrig - wir warten.......
20.02.2025 - Tag 60 - Woche 9:
Mae wird von Tag zu Tag runder und die Welpen kann man jetzt schon sehr deutlich spüren. Die Körpertemperatur ist nach wie vor gleichbleibend und die Wurfbox wird immer wieder getestet.
17.02.2025 - Tag 57 - Woche 9:
Alles ist ruhig soweit.
Wir hatten heute unseren Röntgentermin und siehe da - 6 Welpen warten auf die große weite Welt da draußen.
Mae frisst nach wie vor sehr gut und hat bis jetzt 4 kg zugenommen.
Alles ist für die Geburt vorbereitet und wir warten.....
13.02.2025 - Tag 53 - Woche 8:
Seit Tagen versuche ich die Kleinen zu erspüren, und gestern - endlich - konnte ich ein zartes Klopfen unter der Bauchdecke von Mae spüren. Das ist so ein schönes Gefühl, kaum zu beschreiben.
Mae geht es soweit recht gut. Sie wird schon ein bisschen träger und nimmt auch stetig an Gewicht zu.
Sie hat nach wie vor guten Appetit.
04.02.2025 - Tag 44 - Woche 7:
Die Wurfbox wird schon getestet, auch von Akasha!
30.01.2025 - Tag 39 - Woche 6:
Mae hat wieder Appetit, wie schön.
Wir haben auf Welpenfutter umgestellt und auch schon die Menge etwas erhöht. Akasha möchte natürlich immer auch etwas vom Welpenfutter mitnaschen.
Mae wird schon ein bisschen träger und rundlicher.
Die Wurfbox haben wir auch schon aufgestellt, einfach mal zum Gewöhnen.
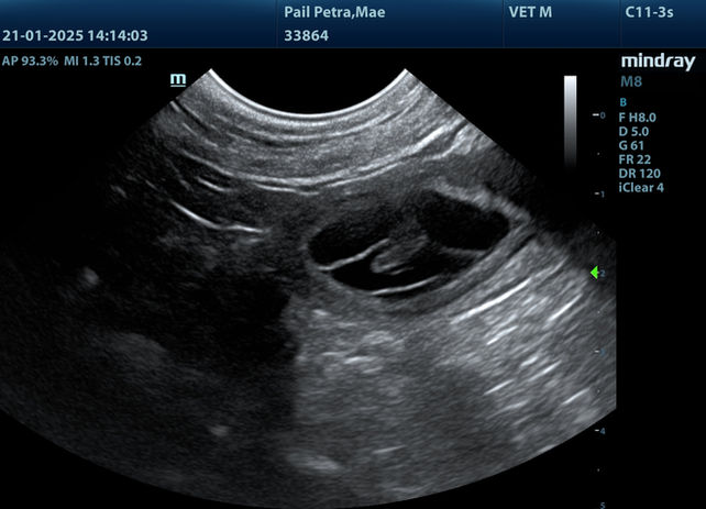
21.01.2025 - Tag 30 - Woche 5:
Juhuu, unsere Mae ist trächtig und hiermit offiziell bestätigt.
Heute hatten wir einen Ultraschalltermin bei unsere Tierärztin. Drei Fruchthöhlen sind klar erkennbar.
Nachdem Mae schon seit ein paar Tagen recht wenig frisst, wenn dann nur das Feuchtfutter und natürlich Leckerli - die gehen immer - habe ich mir schon gedacht, dass sie trächtig ist.
Wir freuen uns riesig.
Die Vorbereitungen können beginnen.









